안녕하세요! 오늘은 많은 분들이 궁금해하시지만 막상 자세히 알기는 어려운 고관절 수술에 대해 이야기해보려 해요. 우리 몸의 기둥인 고관절은 일상생활의 모든 움직임에 관여하기 때문에, 이곳에 문제가 생기면 삶의 질이 크게 저하될 수 있죠. 특히 2025년 현재 고령화가 빠르게 진행되면서 고관절 질환과 수술에 대한 관심이 더욱 높아지고 있습니다. 이 글을 통해 고관절 수술의 모든 궁금증을 명쾌하게 풀어드릴게요!
🦵 고관절 수술, 왜 필요할까요?

고관절은 골반과 허벅지 뼈를 이어주는 관절로, 우리 몸의 무게를 지탱하고 걷기, 달리기, 앉기 등 모든 하체 움직임의 중심이 됩니다. 이런 중요한 고관절에 문제가 생기는 가장 흔한 원인은 바로 퇴행성 관절염과 골절이에요. 퇴행성 관절염은 관절 연골이 닳아 없어지면서 통증과 기능 저하를 유발하고, 골절은 주로 고령층에서 낙상으로 인해 발생하며 심각한 합병증을 초래할 수 있습니다.
만약 보존적 치료(약물, 물리치료, 주사 등)로도 통증이 완화되지 않고 일상생활에 큰 지장을 초래한다면, 의료진은 고관절 수술을 고려하게 됩니다. 수술의 목표는 통증을 줄이고, 관절 기능을 회복하여 삶의 질을 향상시키는 것이죠.
🚨 고관절 골절, 절대 가볍게 보면 안 되는 이유!
고관절 골절은 특히 고령층에서 매우 위험한 질환입니다. 뼈가 약해지는 골다공증이 주요 원인이며, 가벼운 낙상에도 쉽게 골절될 수 있어요. 골절 환자분들이 병원에 오시면 극심한 통증 때문에 움직이지도 못하시고 불안해하시는 모습을 많이 보게 됩니다. 단순히 뼈가 부러진 것을 넘어, 여러 가지 심각한 문제를 야기할 수 있다는 점에서 더욱 주의가 필요해요.
⚠️ 고관절 골절의 위험성
- 높은 사망률: 골절 후 1년 이내 사망률이 20%에 달할 정도로 매우 높습니다.
- 합병증 위험: 장기간 침상 안정으로 인한 폐렴, 욕창, 혈전증 등의 합병증이 발생할 수 있습니다.
- 활동력 감소: 수술 후에도 이전처럼 활동하지 못하고 의존도가 높아질 수 있습니다.
- 사회경제적 부담: 장기 요양 및 치료로 인한 가족과 사회의 부담이 커집니다.
이러한 위험성 때문에 고관절 골절은 응급 수술을 요하는 경우가 많고, 골절 후 빠른 시간 내에 수술을 시행하는 것이 예후에 큰 영향을 미칩니다.
⚙️ 고관절 수술의 주요 종류
고관절 수술은 환자의 상태, 질환의 종류, 골절의 위치와 심각성에 따라 다양한 방법이 있습니다. 가장 대표적인 몇 가지 수술을 소개해 드릴게요.
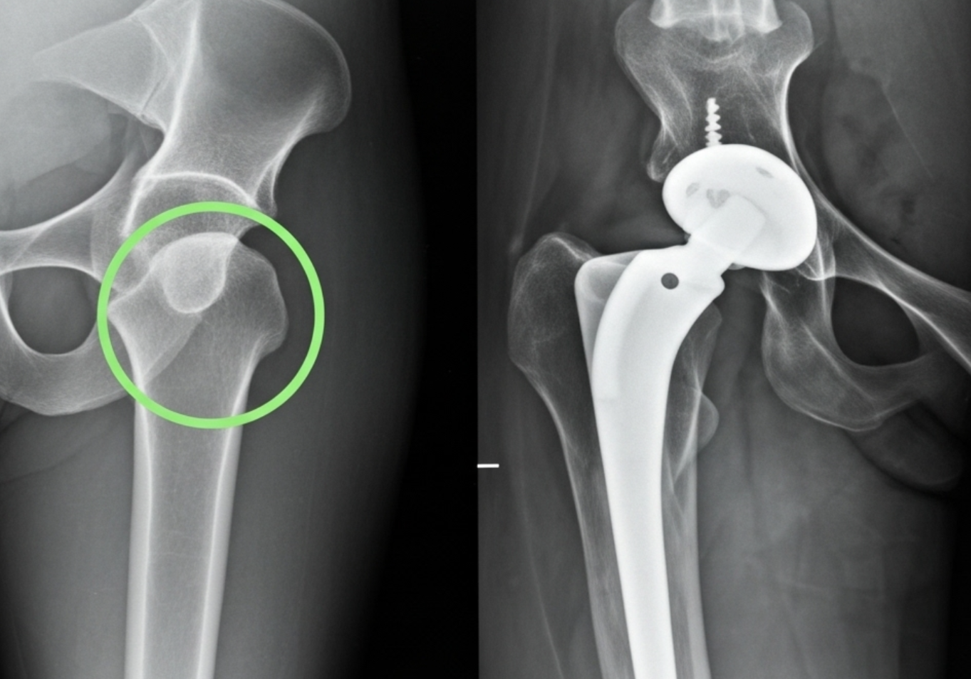
1. 인공관절 전치환술 (Total Hip Arthroplasty, THA)
손상된 고관절 전체(비구와 대퇴골두)를 인공 관절물로 교체하는 수술입니다. 주로 퇴행성 고관절염이나 대퇴골두 무혈성 괴사, 그리고 심한 고관절 골절 등 광범위한 손상이 있을 때 시행돼요. 인공관절은 금속, 세라믹, 플라스틱 등으로 만들어지며, 최근에는 기술 발전으로 수명이 20년 이상으로 길어졌습니다.

2. 부분 인공관절 치환술 (Hemiarthroplasty)
대퇴골두만 인공 관절로 교체하고 비구는 그대로 두는 수술입니다. 주로 고령의 고관절 골절 환자 중에서 비구 관절면의 손상이 적고 활동량이 비교적 적은 경우에 선택됩니다. 전치환술에 비해 수술 시간이 짧고 회복이 빠를 수 있지만, 장기적으로 비구에 부담을 줄 수 있습니다.

3. 골 접합술 (Internal Fixation for fractures)
골절된 뼈 조각을 원래 위치로 맞춘 후 금속 나사나 판을 이용해 고정하는 수술입니다. 주로 젊은 환자의 고관절 골절이나 골두의 괴사 없이 골절만 발생한 경우에 시행하여 자신의 관절을 보존하는 것을 목표로 합니다. 뼈가 잘 붙는 것이 중요하며, 유합 기간 동안 체중 부하를 제한해야 합니다.
📌 수술법 선택은?
어떤 수술법이 최선인지는 환자의 나이, 전신 상태, 활동 수준, 골절 또는 질환의 심각도 등을 종합적으로 고려하여 의료진과 충분히 상담 후 결정해야 합니다. 저는 항상 환자분들의 개별적인 상황에 맞는 최적의 치료 계획을 세우는 것이 중요하다고 생각해요.
⏱️ 고관절 수술 후 회복 기간은 얼마나 걸릴까요?
고관절 수술 후 회복 기간은 수술 종류, 환자의 나이와 건강 상태, 그리고 얼마나 꾸준히 재활치료를 받느냐에 따라 크게 달라질 수 있어요. 일반적인 과정을 말씀드리자면,

- 수술 직후 (입원 기간): 보통 수술 후 며칠 내에 조기 보행 연습을 시작합니다. 통증 관리와 함께 의료진의 지도하에 침상에서 간단한 운동을 시작하죠. 일반적으로 1~2주 정도 입원 후 퇴원하게 됩니다.
- 초기 재활 (퇴원 후 1~3개월): 이때부터 본격적인 물리치료와 운동 치료가 중요해요. 근력 강화, 관절 가동 범위 회복, 보행 훈련 등을 통해 일상생활에 필요한 움직임을 되찾는 시기입니다. 지팡이나 보행 보조기를 사용할 수 있습니다.
- 중기 재활 (3개월~6개월): 대부분의 환자분들이 이때쯤이면 보조기 없이 걸을 수 있게 되며, 가벼운 일상 활동이 가능해집니다. 운동 강도를 점차 높여 균형 감각과 근지구력을 향상시키는 데 집중합니다.
- 완전 회복 (6개월~1년 이상): 수술 종류에 따라 차이가 있지만, 대부분의 경우 이 시기에는 거의 정상적인 활동이 가능해집니다. 하지만 격렬한 운동이나 무리한 자세는 여전히 주의해야 합니다. 골 접합술의 경우 뼈가 완전히 유합되는 데 더 오랜 시간이 걸릴 수 있습니다.
가장 중요한 것은 의료진과 재활 치료사의 지시를 성실히 따르는 것이에요. 조급해하지 않고 꾸준히 노력하는 것이 성공적인 회복의 열쇠라고 할 수 있죠.
✅ 고관절 수술 후 꼭 지켜야 할 주의사항
수술이 성공적으로 끝나도, 합병증을 예방하고 관절의 수명을 길게 유지하기 위해서는 철저한 관리가 필요합니다. 특히 인공관절 치환술을 받으신 분들은 몇 가지 자세 제한을 꼭 기억하셔야 해요.
| 구분 | 주의사항 | 설명 |
|---|---|---|
| 자세 제한 | 고관절 90도 이상 구부리지 않기, 다리 꼬지 않기, 안짱다리/팔자걸음 피하기 | 탈구를 예방하기 위해 특정 자세는 피해야 합니다. 특히 수술 초기에는 더욱 중요해요. |
| 낙상 예방 | 미끄러운 바닥 피하기, 보조기구 사용, 계단 조심, 어두운 곳 피하기 | 재골절은 수술 부위에 치명적인 손상을 줄 수 있으므로 각별한 주의가 필요합니다. |
| 감염 관리 | 수술 부위 청결 유지, 치과 치료 시 사전 고지, 이상 증상 발생 시 즉시 병원 방문 | 인공관절 감염은 심각한 합병증으로, 재수술을 야기할 수 있으니 예방이 최우선입니다. |
| 정기 검진 | 의료진이 지시한 일정에 맞춰 정기적으로 병원 방문 | 인공관절의 마모나 해리, 기타 합병증 여부를 조기에 발견하고 대처하기 위함입니다. |
💰 고관절 수술 비용과 장애 등급, 알아두면 좋아요!
수술을 결정할 때 많은 분들이 가장 궁금해하시는 부분 중 하나가 바로 비용과 혹시 모를 장애 등급 관련 문제일 거예요. 2025년 현재 기준으로 일반적인 정보를 알려드릴게요.
고관절 수술 비용
고관절 수술 비용은 수술 종류(전치환술, 부분 치환술, 골 접합술 등), 인공관절의 재료, 입원 기간, 병원의 규모(상급종합병원, 종합병원 등)에 따라 크게 달라집니다. 다행히 대부분의 고관절 수술은 건강보험이 적용되어 환자 부담이 크게 줄어듭니다.
- 급여 항목: 수술비, 입원비, 기본적인 검사비, 재료비(일부) 등은 건강보험의 혜택을 받습니다.
- 비급여 항목: 특수 재료(고가형 인공관절), 상급 병실료, 특정 영양제, 로봇 수술 등은 비급여로 환자 본인이 전액 부담해야 합니다.
고관절 수술 비용은 일반적으로 약 300만 원에서 400만 원 사이이며, 수술 방식(예: 로봇 수술)에 따라 추가 비용이 발생할 수 있습니다. 로봇 수술은 평균적으로 150만 원 정도가 추가될 수 있으며, 환자의 상태와 병원에 따라 정확한 비용이 달라집니다. ( 위 비용은 건강보험이 적용되지 않는 비급여 항목에 대한 일반적인 내용으로 정확한 비용은 진료 후 담당 의료진과 상담하여 확인하시는 것이 가장 좋습니다.)
개인 보험에 가입되어 있다면 추가적인 혜택을 받을 수도 있으니 가입 보험사에 문의해보시는 것도 좋은 방법이에요.
재수술의 경우, 처음 수술보다 비용이 더 많이 들 수 있습니다.
고관절 수술 후 장애 등급
고관절 수술 후에도 관절 기능에 영구적인 장애가 남는 경우, 장애인복지법에 따라 장애 등록을 할 수 있습니다. 주로 관절운동 범위의 제한, 통증으로 인한 보행 능력 저하 등이 평가 기준이 됩니다.
- 평가 기준: 주로 수술 후 최소 6개월 이상 경과 후 관절 기능 평가 및 방사선 검사 등을 통해 이루어집니다.
- 장애 유형: '지체장애' 중 '관절장애'에 해당하며, 장애의 정도에 따라 등급(심한 장애/심하지 않은 장애)이 분류됩니다.
- 혜택: 장애 등급에 따라 의료비 지원, 세금 감면, 교통비 할인 등 다양한 복지 혜택을 받을 수 있습니다.
장애 등록 절차는 다소 복잡할 수 있으니, 궁금한 점이 있다면 병원 사회복지팀이나 관할 주민센터에 문의하여 자세한 안내를 받는 것이 좋아요.
1. 고관절 수술은 퇴행성 관절염, 골절 등으로 저하된 삶의 질을 회복시키는 중요한 치료법입니다.
2. 특히 고관절 골절은 고령층에게 치명적이므로 빠른 진단과 수술이 필수적입니다.
3. 수술 후 성공적인 회복을 위해서는 꾸준한 재활과 의료진의 지시를 따르는 것이 가장 중요합니다.
4. 수술 비용은 건강보험 적용으로 부담을 줄일 수 있으며, 필요 시 장애 등급 신청을 통해 복지 혜택을 받을 수 있습니다.
❓ 자주 묻는 질문 (FAQ)
Q1: 고관절 수술 후 운동은 언제부터 가능한가요?
A1: 수술 직후부터 의료진의 지도하에 가벼운 침상 운동을 시작하고, 퇴원 후 1~3개월부터는 본격적인 재활 운동을 하게 됩니다. 조깅이나 격렬한 운동은 보통 6개월~1년 이후에나 가능하며, 반드시 담당 의사와 상담 후 결정해야 합니다.
Q2: 인공관절 수명은 얼마나 되나요?
A2: 최근에는 인공관절 재료와 수술 기술의 발달로 수명이 많이 늘어나 15~20년 이상 사용하는 경우가 많습니다. 환자의 활동량이나 수술 후 관리에 따라 수명은 달라질 수 있으며, 마모가 심하거나 문제가 발생하면 재수술이 필요할 수도 있습니다.
Q3: 고관절 수술 없이 통증을 완화할 방법은 없나요?
A3: 초기 단계에서는 약물 치료, 물리 치료, 주사 요법, 체중 조절, 운동(수영, 걷기 등)을 통해 통증 완화를 시도할 수 있습니다. 하지만 관절 손상이 심하거나 골절이 발생한 경우에는 수술적 치료가 불가피할 수 있으므로, 반드시 전문가와 상담하여 적절한 치료 계획을 세우는 것이 중요합니다.
고관절 건강은 우리의 활동적인 삶을 위한 필수 조건입니다. 이 글이 고관절 수술에 대한 이해를 높이고, 건강한 생활을 유지하는 데 도움이 되기를 바랍니다. 궁금한 점이 있다면 언제든 전문가와 상담하시고, 건강한 고관절을 위해 꾸준히 관리해주세요!
'건강한 몸' 카테고리의 다른 글
| 💪 2025년 퇴행성관절염 : 관절 건강/지키는 영양제 총정리 (11) | 2025.11.24 |
|---|---|
| 🌱2025년, 퇴행성 관절염/완치의 희망이 현실로! (2) | 2025.11.24 |
| 💡"골반이 잘 안펴져요" / 당신의 고관절이 보내는 경고 신호! (7) | 2025.11.23 |
| 👨👩👧👦 2025 독감 무료접종 : 대상자 총정리! (16) | 2025.11.21 |
| 😴 아이유 베개부터 경추 베개까지 인생 베개 찾기 (9) | 2025.11.21 |